Φωτογραφίες Περιστατικών
Πατήστε στους συνδέσμους και ενημερωθείτε:
- Τι είναι οι Όψεις Ρητίνης-Bonding.
- Τι είναι οι Όψεις Πορσελάνης-Ολοκεραμικά.
- Τι είναι η Ορθοδοντική χωρίς Σιδεράκια.
- Τι είναι η Λεύκανση των Δοντιών.
- Τι είναι ο Σχεδιασμός Χαμόγελου.
- Τι είναι τα Εμφυτεύματα Δοντιών.
Αισθητικό Bonding ελάχιστης παρέμβασης με όψεις ρητίνης στα 4 άνω και 4 κάτω πρόσθια δόντια
Πρόβλημα:
Γυναίκα με στρεβλοφυίες στα πρόσθια δόντια και με τον άνω αριστερό τομέα να εισέχει του αντίστοιχου κάτω.
Λύση:
Bonding δοντιών ελάχιστης παρέμασης με 8 όψεις ρητίνης στα πρόσθια άνω-κάτω δόντια!
Αισθητικό Bonding ελάχιστης παρέμβασης με όψεις ρητίνης στα 6 άνω πρόσθια δόντια
Πρόβλημα:
Άντρας 28 χρονών με ανώμαλο οδοντικό τόξο και μασητικό επίπεδο, αραιοδοντίες, δόντια φθαρμένα, συγγενής έλλειψη μόνιμου πλαγίου τομέα δεξιά την θέση του οποίου κατέχει ο μόνιμος κυνόδοντας και νάνος πλάγιος τομέας αριστερά.
Λύση:
Bonding δοντιών ελάχιστης παρέμασης με 6 όψεις ρητίνης στα πρόσθια άνω δόντια!
Ολοκεραμικές Στεφάνες και Γέφυρες Ζιρκονίου
Πρόβλημα:
Γυναίκα 50 ετών με έντονες αποτριβές (φθαρμένα δόντια) σε όλο το στόμα και απώλεια δοντιών με αποτέλεσμα να έχει χαθεί το φυσιολογικό κάθετο ύψος του προσώπου. Πέρα από τα προβλήματα που δημιουργεί στην άρθρωση και στη μάσηση, έχει πολύ αρνητική επίπτωση στην εμφάνιση και στο χαμόγελο και δημιουργεί γεροντικό προσωπείο δηλαδή δημιουργεί την εντύπωση γέρου ανθρώπου.
Λύση:
Ανύψωση της σύγκλεισης με στεφάνες και γέφυρες ζιρκονίου στα πίσω δόντια και ολοκεραμικές στεφάνες στα πρόσθια δόντια για αποκατάσταση της αισθητικής και της λειτουργίας. Στο περιστατικό αυτό αποκαταστάθηκε το σύνολο του στόματος!
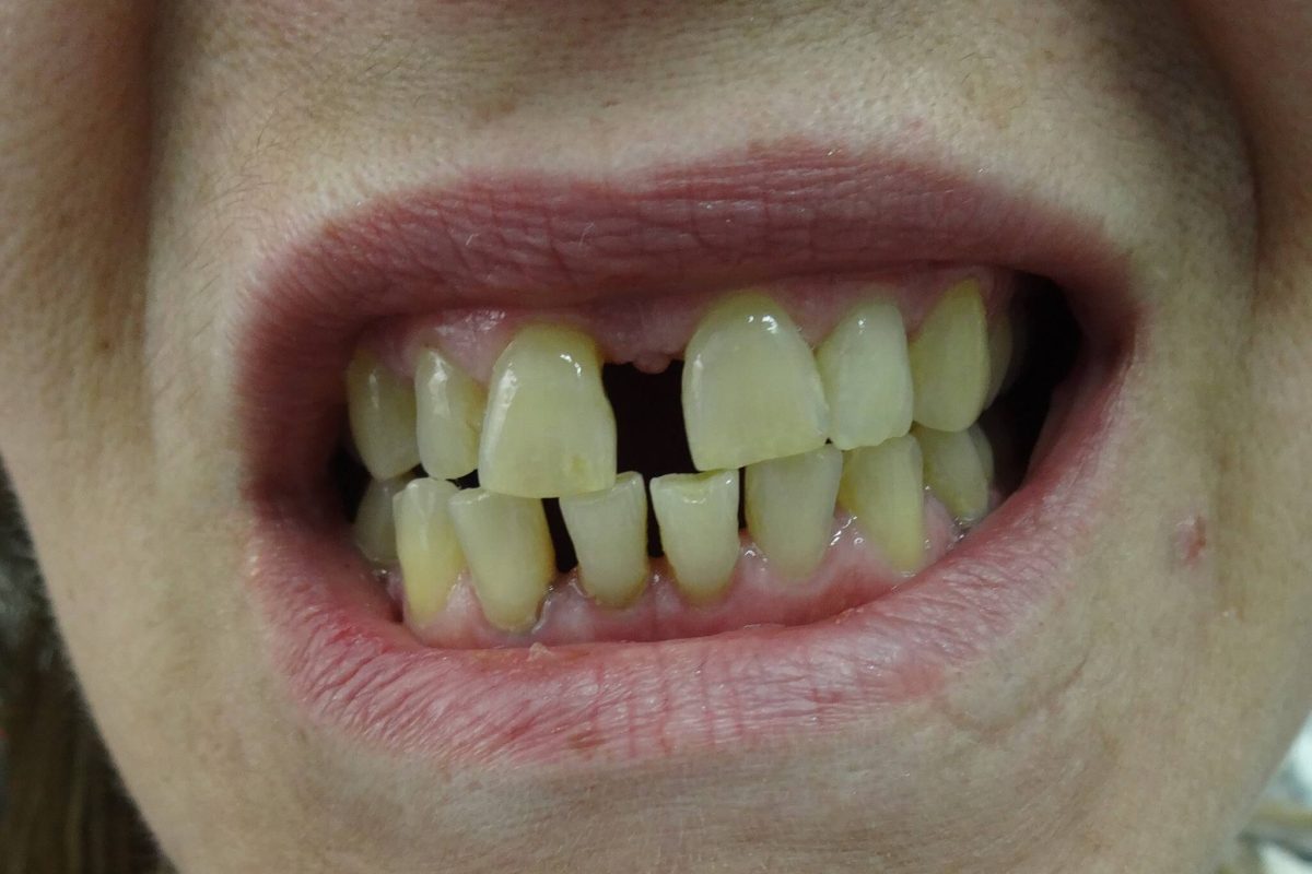
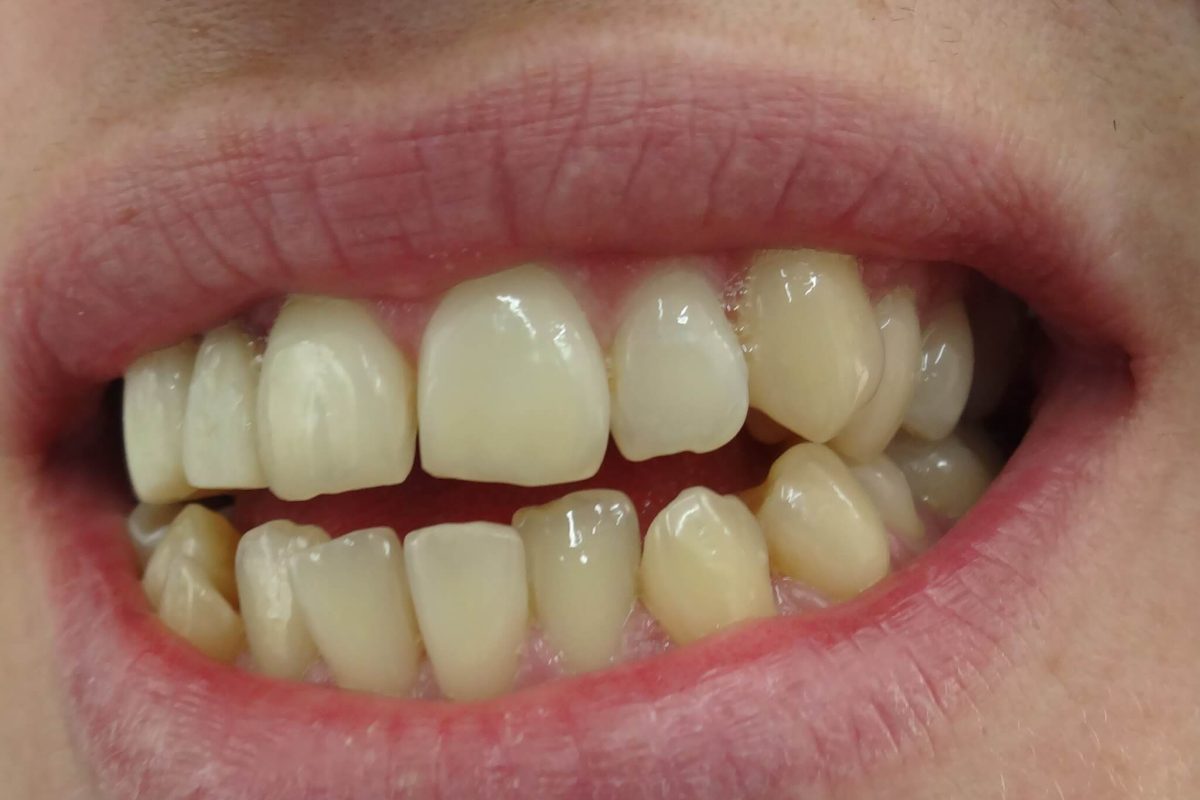
Ουλοπλαστική και αισθητικό Bonding ελάχιστης παρέμβασης με όψεις ρητίνης
Πρόβλημα:
Κοπέλα μόλις 20 χρονών με έντονη φθορά στα πρόσθια δόντια λόγω βρυγμού, τόση που όταν έχει ένα ελαφρό μειδίαμα, τα δόντια της είναι σχεδόν ανύπαρκτα στο στόμα της. Μόνο σε έντονο χαμόγελο φαίνονται, φθαρμένα και στραβά. Επίσης έχει ένα νάνο άνω πλάγιο τομέα και συγγενή έλλειψη του άλλου άνω πλαγίου τομέα, με αποτέλεσμα οι κεντρικοί τομείς έχουν μία κλίση προς εκείνη την πλευρά και το ούλο μεταξύ κεντρικού τομέα-κυνόδοντα είναι κρεμασμένο μέχρι το μέσο του κυνόδοντα. Στόχος είναι να μετατραπεί ο κυνόδοντας σε πλάγιο τομέα και ο πρώτος προγόμφιος σε κυνόδοντα και να ισιώσει η μέση γραμμή και ο νάνος πλάγιος να αποκτήσει ίδιες διαστάσεις με τον πλάγιο της άλλης πλευράς!!
Λύση:
Ουλοπλαστική για καλύτερη διευθέτηση του σχήματος των πλαγίων τομέων. Σε δεύτερο χρόνο αισθητικό Bonding ελάχιστης παρέμβασης με όψεις ρητίνης στα οκτώ άνω πρόσθια δόντια, με επιμήκυνση των δοντιών και ανύψωση του μασητικού επιπέδου.
Αισθητική αποκατάσταση χαμόγελου με Όψεις Ρητίνης
Πρόβλημα:
Οι τέσσερεις άνω τομείς είναι δόντια πεταχτά, μεγάλα,
με στροφές και αφήνουν κενά διαστήματα με τους
κυνόδοντες και από τις δύο πλευρές.
Λύση:
Αισθητικό Bonding ελάχιστης παρέμβασης με όψεις ρητίνης σε έξι δόντια, από τον ένα μέχρι τον άλλο κυνόδοντα.
Αισθητική αποκατάσταση αραιοδοντίας με αισθητικό bonding
Πρόβλημα:
Αραιοδοντίες στα πρόσθια άνω και κάτω δόντια και παράλληλα φθορές από βρυγμό και τραυματική σύγκλειση. Δόντια κίτρινα.
Λύση:
Αισθητικό Bonding ελάχιστης παρέμβασης σε δέκα πάνω και δέκα κάτω δόντια. Έχει διορθωθεί η αραιοδοντία, η σύγλειση, το χρώμα. Οι διαστάσεις των δοντιών είναι σε αρμονία με τις γραμμές και τις διαστάσεις του προσώπου.
ΑΝΑΠΛΑΣΗ ΧΑΜΟΓΕΛΟΥ-Ορθοδοντική χωρίς Σιδεράκια με Όψεις Ρητίνης-Bonding
Πρόβλημα:
Η κοπέλα έχει έντονο συνωστισμό δοντιών στην άνω και κάτω γνάθο και προγναθισμό της κάτω γνάθου με πολυ κακή σύγκλειση. Επίσης τα πρόσθια δόντια της δεν ακουμπούν μεταξύ τους (πρόσθια χασμοδοντία).
Λύση:
1.Βελτίωση της σύγκλεισης με εκλεκτικό τροχισμό των οπισθίων δοντιών.
2.Αισθητικό Bonding ελάχιστης παρέμβασης σε δέκα δόντια στην άνω γνάθο και έξι δόντια στην κάτω γνάθο.
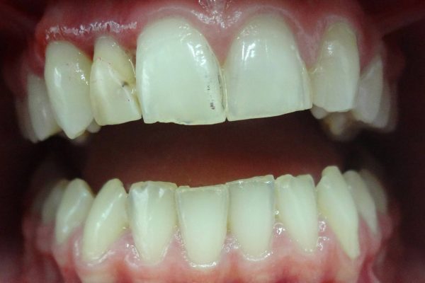
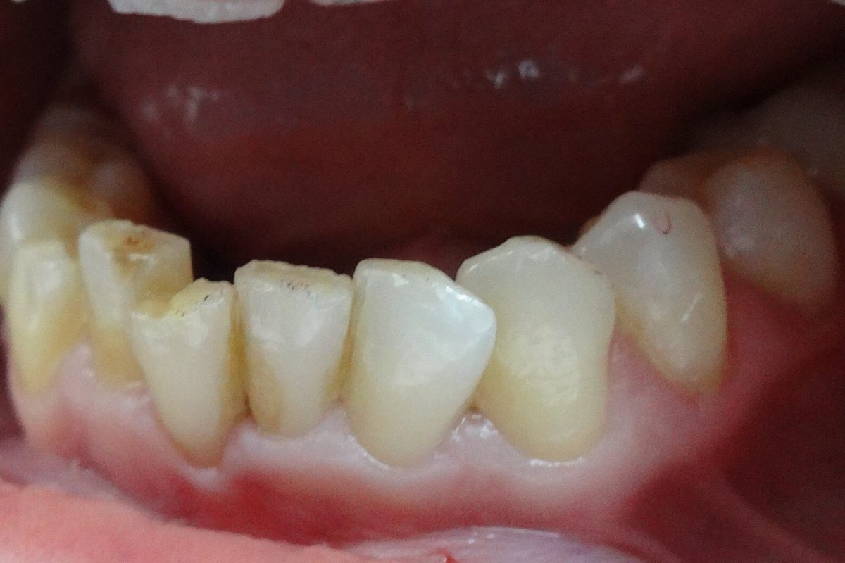
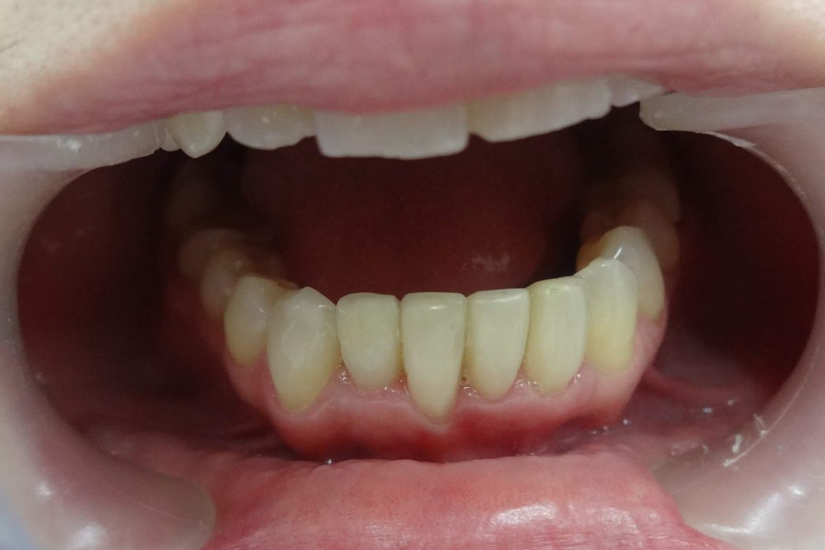
Αισθητική αποκατάσταση συνωστισμένων κάτω προσθίων δοντιών με όψεις ρητίνης
Πρόβλημα:
Έντονες κλίσεις και στροφές λόγω συνωστισμού στα έξι κάτω πρόσθια δόντια,καθώς και φθορές λόγω βρυγμού στην κοπτική επιφάνεια τους με αποτέλεσμα αισθητικό και συγκλεισιακό πρόβλημα.
Λύση:


























































































